Printing the Future of Oncology: CTIBIOTECH invests €3M and secures €1.25M from France 2030 to Revolutionize Personalized Cancer Care
CTIBIOTECH™, a leading innovator in advanced human tissue engineering, proudly announces CTIONCOTEST™ platform is awarded Major Bpifrance Funding to Industrialize 3D Bioprinted Cancer Models
NEWSINNOVATIONAWARDS
4/28/20264 min read


FOR IMMEDIATE RELEASE
Lyon, France – April 28th, 2026 –
CTIBIOTECH Announces the CTIONCOTEST ™ Project to Revolutionize Cancer Research with 3D Bioprinted Microtumors, Backed by France 2030 and Bpifrance
CTIBIOTECH™, an innovative French Contract Research, Development, and Manufacturing Organization (CRDMO) based in Meyzieu-Lyon, proudly announces the launch of the CTIONCOTEST ™ project, a groundbreaking €3 million initiative aimed at transforming preclinical cancer research. To accelerate this critical innovation, CTIBIOTECH ™ has been awarded €1.25 million in funding from Bpifrance under the "Aide au Développement Deeptech" program, with the strategic support of France 2030 and the Government of France.
Currently, 95% of new cancer drugs fail during human clinical trials, costing the pharmaceutical industry billions of euros and delaying life-saving treatments for patients. The CTIONCOTEST ™ project addresses this urgent global health challenge by developing an automated, industrial-scale process to 3D bioprint hundreds of standardized human "microtumors" directly from a specific cancer patient's primary tumor cells.
Over a 36-month period, the project will advance the technology from a working prototype (TRL 5) to a fully functional, high-throughput commercial product (TRL 8) ready for market entry by 2029.
Key highlights of the CTIONCOTEST ™ project include:
CTIONCOTEST ™ is a de-risking tool for the pharmaceutical industry, where 95% of new treatments currently fail in clinical trials due to poor preclinical predictivity.
Market Drivers: Rising global cancer mortality (projected 12M deaths by 2030) and regulatory pressure to adopt New Approach Methodologies (NAMs) to replace animal testing.
Business Model: Dual-revenue strategy involving the sale of turnkey kits and contract research/innovation (CRDMO) for biopharma partners.
Future Vision: Establishing global leadership in custom bioproduction for immuno-oncology and personalized medicine
Focus on High-Mortality Cancers: The project will specifically develop functional 3D models for breast, colon, and pancreatic cancers—areas that currently suffer from a severe lack of reliable experimental models.
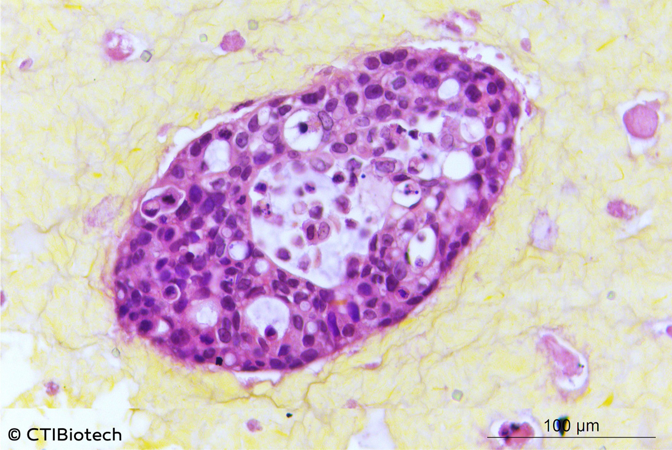
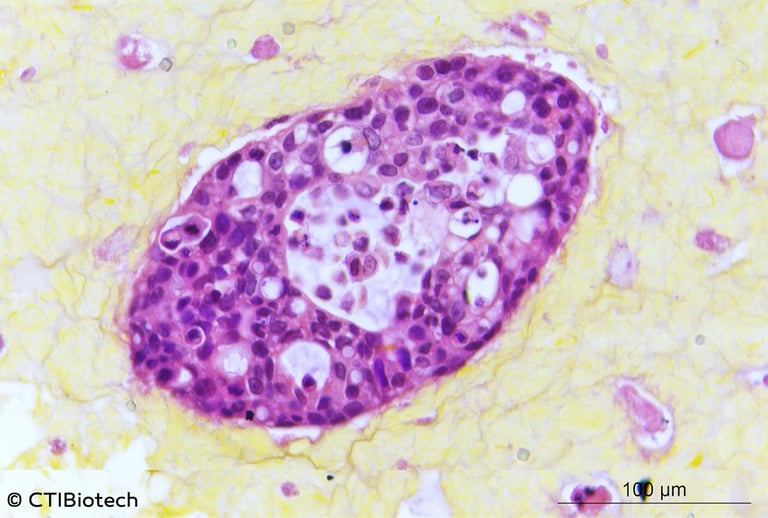
Unprecedented Biological Fidelity: Unlike manual methods, CTIBIOTECH’s computer-aided 3D bioprinting perfectly mimics the complex tumor microenvironment, including hypoxic and necrotic zones. These models have demonstrated a record-breaking cellular viability of 128 days, allowing researchers to conduct unprecedented long-term studies on drug resistance and cancer metastasis.
Ethical Alternatives to Animal Testing: By providing a highly predictive, 100% human-derived testing platform, CTIONCOTEST ™ actively supports the regulatory shift towards New Approach Methodologies (NAMs), drastically reducing and replacing the need for animal experimentation in preclinical trials.
A Collaborative Ecosystem of Excellence: Labilized by the Lyon biopôle Auvergne Rhone-Alpes competitiveness cluster, the project integrates a world-class network of academic, clinical, and industrial partners. Key collaborators include the Centre Léon Bérard, Hospices Civils de Lyon (HCL), Medical University Plovdiv, Transgene, GenXMap, Oncodesign Services, and Novotec.
Professor Colin McGuckin, President and Chief Scientific Officer of CTIBIOTECH shared his pride and vision "The industrialization of the CTIONCOTEST platform marks a crucial step toward personalized medicine against cancer, where treatments can be individually tailored to a patient's specific tumor profile".
"This financial support from the French State represents a vital lever to maximize the impact of our technology, allowing us to advance twice as fast in developing and commercializing these 3D bioprinted microtumors for transform cancer drug development" added Dr Nico Forraz, Chief Executive Officer of CTIBIOTECH
The CTIONCOTEST™ project will directly contribute to local economic growth, creating 5 immediate permanent scientific positions in 2026, with projections to create 51 jobs and 16 million euros revenue by 2031. Research, development, and industrialization efforts will be conducted at CTIBIOTECH’s 800m² state-of-the-art facility and certified biobank in Meyzieu, Metropolis of Lyon, France.
About CTIBIOTECH™: CTIBIOTECH™ is a global biotechnology company specializing leader in 3D bioprinting and advanced human tissue engineering. By transforming discarded human surgical tissues into high-value predictive bioassays, CTIBIOTECH™ provides integrated drug discovery, development and innovation solutions for the pharmaceutical, medical device, and cell therapy industries globally.
CTIBIOTECH™ Contact Information
For more information, please contact:
Dr Nico FORRAZ
Chief Executive Officer
CTIBIOTECH™
Phone Number: +33 6 78 90 38 50
Figure 1: Description of CTIONCOTEST™ Platform for Cancer Research


Figure 2: Fluorescence microscopy revealing high cell viability within a 3D bioprinted breast microtumor (Live/Dead assay)


Figure 3: Automated 3D bioprinting of pancreatic microtumors in a standardized 24-well plate format for drug testing.


Figure 4: Histological characterization (HES staining) showing the architecture of a 3D bioprinted pancreatic
-END-
Download our press releases in PDF:

Get In Touch
CTIBIOTECH Europe
Bat A16, 5 avenue Lionel Terray
69330 Meyzieu
Lyon, France
office@ctibiotech.com
Subscribe to our newsletter



CTIBIOTECH USA
601 Walnut Street, Suite 825
Philadelphia, PA, 19106
USA
office@ctibiotech.com